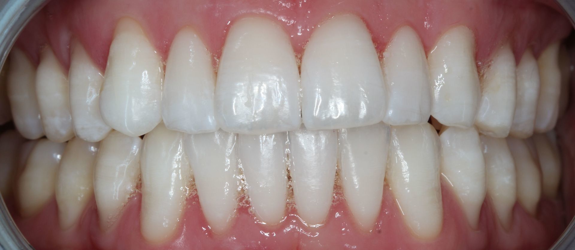
Teeth Whitening
Background
Teeth whitening can improve your smile and confidence. We use a home-based treatment kit, a technique shown by different bodies of evidence to be the most effective method of whitening teeth. This involves providing custom-made whitening trays (produced from impressions of your teeth) and whitening material.
What To Expect
The procedure involves taking moulds of your top and bottom teeth from which bleaching trays are made and customised according to your specific teeth. The trays are manufactured by skilled dental technicians in a dental laboratory. When the trays are back from the laboratory, the dentist will demonstrate how to use them and how to maintain them. The bleaching trays and the bleaching gels will be given to you, and you can whiten your teeth in the comfort of your home, giving you full control over the process
FAQs
Does whitening damage teeth?
Carbimide peroxide, the technical name of the bleaching material, is used to whiten teeth. It has been safely used by dentists in the USA for over thirty years. However, misusing the material and the technique can be damaging to the teeth and gums. Therefore, it is very important that your bleaching is supervised by a dentist.
Is teeth whitening painful?
There may be some slight sensitivity during and after the process, depending on the concentration of the bleaching material used but the sensitivity disappears after about 7-10 days. We recommend use of special gels and toothpastes before, during and after the treatment to minimise the incidence of sensitivity.


"Following Dr Shah's advice and a short course of tooth whitening that lightened by 10 shades! I now have more confidence in the appearance of my teeth."
Read More Reviews
We're here to help...
We don't expect you to have a full understanding of how the treatments work... that's why we're here.
Get in touch so we can make an appointment and guide you to the right solution.
